Stefan Tiggesさんのプロフィール画像

Stefan Tiggesさんのイラストまとめ


Teaching w/ comics. My 5 free Radiopaedia comics on reading CXRs, Head CTs, Abdominal CTs & Medical Stats: radiopaedia.org/courses/stefan…
xraycomix.com

フォロー数:1582 フォロワー数:22596

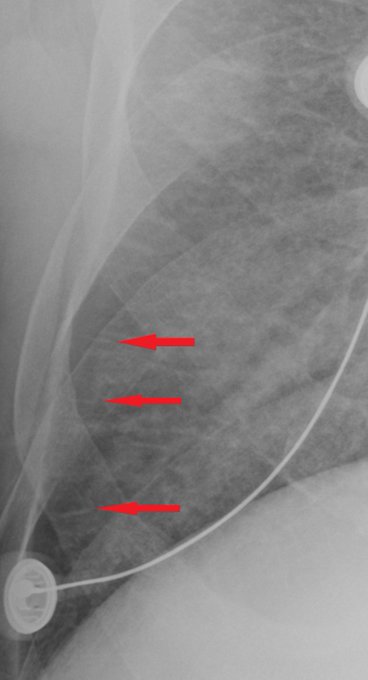
Developement of Kerley B lines. First CXR=normal, 2nd CXR=mild edema w/ Kerley B lines, 3rd image, coned view of right lateral chest, red arrows show Kerley lines. https://t.co/5vyES9rKOs

6 65

You have to read this using a Foghorn Leghorn voice. "I say, I say, boy..."

2 3

Spaceman Stef, working on Comics and the M3 Radiology clerkship.

0 7

Imagining Trump and Fauci as Med School dissection partners.

3 13

Interested to see if Dr. Trump will make an appearance at today's presser.

2 3

Trump alone was bad enough.

1 12

I guess I'll have to enjoy the pre-apocalypse with my cats.

0 2