//=time() ?>
Buhitter
Twitterイラスト検索
検索
+条件指定
Buhitterとは
リツイート数ランキング(Hourly)
リツイート数ランキング(Daily)
いいね数ランキング(Daily)
俺の嫁(タグ検索)
削除依頼
ログイン
Giovanni Serio MDさんのイラストまとめ
@gioserio
Follow @gioserioさんをフォローする
Pathologist and cytopathologist at Busto Arsizio Hospital, Lombardia, Italy
フォロー数:1358 フォロワー数:942
1 件中 1〜1件を表示
チェック済みです。
Giovanni Serio MD
@gioserio
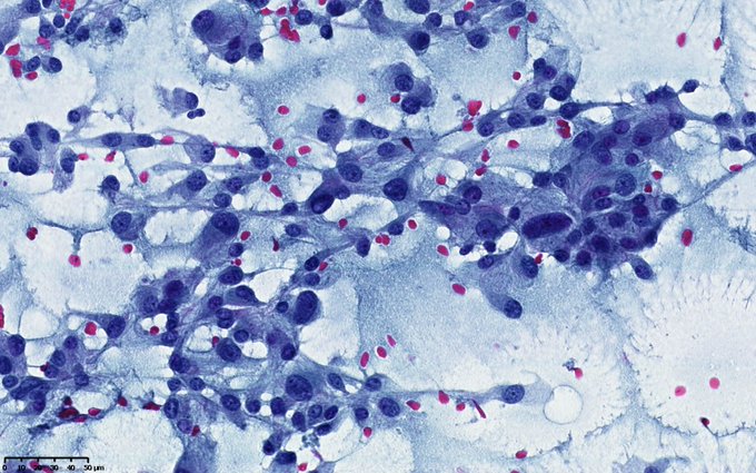
FNAC of axillary lymphnode in breast cancer. Endocrine cells stained with synaptofysin#
20
15
2015-02-26
1
詳細検索
×
検索ワード
検索
期間
〜
最小リツイート数
(機能解放する)
利用不可
並び順
(機能解放する)
新しい順
古い順
RT数順
いいね数順
遷移先選択
×
Twitterで「」を検索
Buhitterで「」を検索