なおもげさんのプロフィール画像

なおもげさんのイラストまとめ


アイコンはまめうさぎちゃんが描いてくれた

フォロー数:307 フォロワー数:401

シールにしてバイクに貼ろうと思ってたけど事故る未来しか見えないので未だ貼る勇気が出ない。ステッカー貼ったからその部分手を加えてみようかとも思う

0 13

ブス界へようこその砂子さんのファンアート。
史上最強のいい女。
やっぱ一番好き。
本当かっこいいから読んで。

2 14

鬼ごっこ部屋立てて遊んだんだけど、来てくれた人達皆んな良い人ばかりでなおけけはぐっすり眠れそうです。この場を借りて感謝。
また会えたらいいな。
とりあえずこの来てくれたピンクの人の断末魔がおもろすぎて腹筋崩壊したwww
 

0 7

BTSのジミンさん描いた

1 12

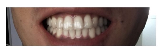
このブレッシュホワイトニングジェルって本当すごい!!!
背景も何もかも全く同じ画像のコントラストを暖色から寒色に変えただけで「これを使えばこんなに歯が白くなるんです!!」って堂々と謳ってるの本当すごい。
せめて違う画像にすればまだ謀ることが出来ただろうに安易すぎて逆に度肝抜かれたわ

0 7

表示するにはログインして設定を変更してください。

2025-11-03

さやか♡
絵師なんて大層なもんじゃないけどw

0 5

今日元カリガリとマシンガンズの村井さんの誕生日ばーい!
エレガンズCDまた出らんかな〜欲しい

0 4