//=time() ?>
Our cat Scuzzy has mild cystitis, and we're trying to get him to drink more. I feel like Jiang Yanli in #CQL at the moment.
You want some soup?
Here, have some bone broth.
We made it because we love you.
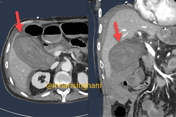
Patient on anticoagulation with spontaneous hemorrhagic cholecystitis
@KaspianKlaus @VTuberTweeter It's always nice to connect with others. Personally I have an undiagnosed wrist problem (thought it was carpal tunnel), Interstitial cystitis, and a slew of other general issues both mental and physical. The Vtuber community has been so helpful in getting me through each day!
#disabledartists Hi! My name is Tetodash or just Kaela and I have POTs, autism, ADHD, and interstitial cystitis. I do digital art and embroidery! Once I’m better at it I will also be taking embroidery commissions. I’m currently in training with FM Digitizing though.
@memenendez1 I hear ya! Gallbladder in textbook / chronic cholecystitis
September issue now live https://t.co/XeljAzjCw1. Featuring #COVID19, #Zika vaccine, #polio vaccine, #cystitis treatment, #tuberculosis, antimicrobial peptides, #Ebola treatment, and much more.