医師国家試験クイズくんさんのプロフィール画像

医師国家試験クイズくんさんのイラストまとめ


医師国家試験の出題範囲について、病態・機序を大切にしながら、最近のトピックスや作問委員の過去問をベースにした問題を投稿します。やみくもに難しくない、役立つ問題を投稿したいと思います。問題・解説等について不適切などのご意見があればDM・リプにてお願い致します。

フォロー数:1 フォロワー数:5223

赤ちゃんから大人まで起こる病気で、生後数ヶ月頃に皮脂が過剰分泌されることによる脂漏性皮膚炎は、乳児脂漏性皮膚炎と呼ばれています。

耳の裏などの皮脂腺が発達している箇所に、発赤や掻痒感などの症状があります。
頭皮に炎症が起こると皮膚が剥がれ、落屑となり、フケのようになります。

0 0

Aラインの刺入部位としては、主に橈骨動脈・足背動脈が用いられます。
選択の理由として、血管が比較的太くて留置しやすい、万が一、空気が入り込んでも他の動脈からの血流があるため、塞栓症リスクが少ないという点があります。

0 1

気をつけておくべきこととして、

・空気塞栓を予防するために、必ず「仰臥位」、できれば下肢を挙上 or 「Trendelenburg体位」で抜去 

・できれば呼気の途中 or 吸気後に息を止めて(valsalva)抜去: 中心静脈は胸腔内にあり、陰圧になって空気を引き込むことがあるため

7 42

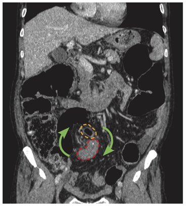
CTではS状結腸および口側の腸管に拡張を認めます(青矢印)
また、S状結腸の口側および肛門側の2カ所に嘴状の狭窄(Beak Sign)がみられます。(黄矢印・赤矢印)

CT冠状断ではS状結腸間膜が渦巻き状に描出されるwhirl sign(緑矢印)を認め、捻転をもっとも考えます。

1 2

【3/3】
その後撮影された腹部造影CTの結果を示す。
疼痛および嘔気の訴えは継続している。
本日は外科当番医・内視鏡当番医が院内にて当直をしている。

この患者への対応として正しいものはどれか。

0 0

78歳の男性。悪心と腹痛とを主訴に来院。
腹痛は朝から生じ、徐々に右下腹部に移動し、増強してきたため受診。

体温37.8℃, 脈拍92/分、整, 血圧148/84mmHg, 呼吸数20/分。腹部平坦、右下腹部に圧痛を認める。反跳痛なし。かかと落とし試験陰性。

急性虫垂炎を鑑別に挙げた。
行うべき検査はどれか。

0 0

続いて経膣エコーを確認します。
画像のようなオリエンテーションになっています。

この問題では
・子宮頸管の楔状開大(funneling)あり
・胎児の頭部が内子宮口のそばに見える:頭位を考える
・胎児と内子宮口の間に胎児の手と思われるものあり:臍帯や副胎盤でないかカラードプラで確認
がわかります。

0 0

患者の膝を屈曲した状態で足関節を背屈させて腓腹部の痛みが出現するかどうかを確認するのがHomans徴候です。
下肢静脈血栓症(DVT)の診断に用いられます。

ただし、偽陽性が多いため、脚の発赤・腫脹の有無、リスク因子などを総合的にみて、DVTがあるかどうかを判断することが大事です。

0 2

IABPバルーンカテーテルを大腿動脈から挿入し、胸部下行大動脈に留置し、動脈圧または心電図に同期させてバルーンをヘリウムガスで収縮・膨張させることにより心臓の圧補助を行います。

・拡張期血圧の上昇
・収縮期後負荷の減少
といった作用が得られます。

0 0

【2/2】
入院後、急変時対応について確認をすると、患者およびキーパーソンからは、DNAR (do not attempt resuscitation)で、との同意を得た。

後日、担当医が病室を来院すると、患者が別に示す画像のような動作をしており、会話を行うことが不可能であった。
対応として正しいものはどれか。

0 0