尾形 哲 肝臓先生『肝臓から脂肪を落とす』さんのプロフィール画像

尾形 哲 肝臓先生『肝臓から脂肪を落とす』さんのイラストまとめ


肝臓専門医X肝臓外科医Xスマート外来担当医 医学博士 一般社団法人日本NASH研究所代表理事 #肝臓から脂肪を落とす食事術 #肝臓こそすべて #肝臓から脂肪を落とす7日間実践レシピ #甘い飲み物が肝臓を殺す #1分で肝臓から脂肪が落ちる食べ方決定版 趣味:料理・サウナ・ボウリング
i-nashjapan.com

フォロー数:37758 フォロワー数:95536

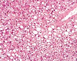
 は
肝臓のまわりに
脂肪の塊がつくのではありません

一つひとつの細胞の中に
脂肪の滴が溜まっていくのです

肝臓組織を顕微鏡で見ると
左が正常 
右が 

ラーメンスープのあぶらの様な
白い粒が
肝臓の中の脂肪

フォアグラです

111 812

表示するにはログインして設定を変更してください。

2025-10-18

肝臓がヨロコブ
1日1回の筋トレ

膝が痛くてスクワットが
できない方にはコレ


20秒キープ➡10秒休憩
3セット
慣れてきたら30秒キープ

体幹を鍛えて


1日1回 
10分もいりません
1週間続けると
少しラクにできるようになります

132 893



1日に必要最低限な水の量
体重1㎏につき35mL(食事込み)

70㎏の方なら約2.5L 

これを
コ〇・コーラでとった場合
1125kcal

アク〇リアスでとった場合 
475kcal

水・お茶でとった場合 
0kcal

ヒトは55-60%が水でできている
 は
飲み物からはじめよう

103 663

なぜ  改善に
 なの?

スクワットは
大きい筋肉を同時に使える

だから
①筋肉グリコーゲンを消費
②食べた糖が筋肉へ=血糖急上昇がなくなる
③筋肉量UP=グリコーゲン貯蔵庫が増大

効率よく①②③が達成できる!
糖を消費➡脂肪蓄積⇩

イス・机につかまって

99 704

食後10分の運動が血糖急上昇を防ぐ!

運動不足 運動初心者には
 がおススメ

ゆっくりと踏み台昇降10分間
やり方はコチラ
https://t.co/J5KFsOd69v

階段で十分
ぜひ!

77 598

表示するにはログインして設定を変更してください。

2025-10-18

 
ご存じかと思いますが

せり なずな 
ごぎょう はこべら 
ほとけのざ 
すずな すずしろ 
はるのななくさ 

短歌になってますよね

https://t.co/kO75Xh8ho2

今日は
 

もちで疲れた胃を
いたわりましょう

101 830

肝臓がヨロコブ
1日1回の筋トレ

膝が痛くてスクワットが
できない方にはコレ


20秒キープ➡10秒休憩
3セット
慣れてきたら30秒キープ

体幹を鍛えて


1日1回5分間
1週間続けると
ラクにできるようになります

71 495

なぜ  改善に
 なの?

スクワットは
大きい筋肉を同時に使える

だから
①筋肉グリコーゲンを消費
②食べた糖が筋肉へ=血糖急上昇がなくなる
③筋肉量UP=グリコーゲン貯蔵庫が増大

効率よく①②③が達成できる!
糖を消費➡脂肪蓄積⇩

イス・机につかまって

65 446